Tonsil stones, also called tonsilloliths, may sound ominous, but these small, hardened formations tucked into the folds of your tonsils are usually a minor annoyance. They can irritate your throat and often cause persistent bad breath. The good news is that for most people, tonsil stones are a temporary issue that can be managed at home.
Below is information about what exactly tonsil stones are, why they form, and how to get rid of them swiftly and effectively.
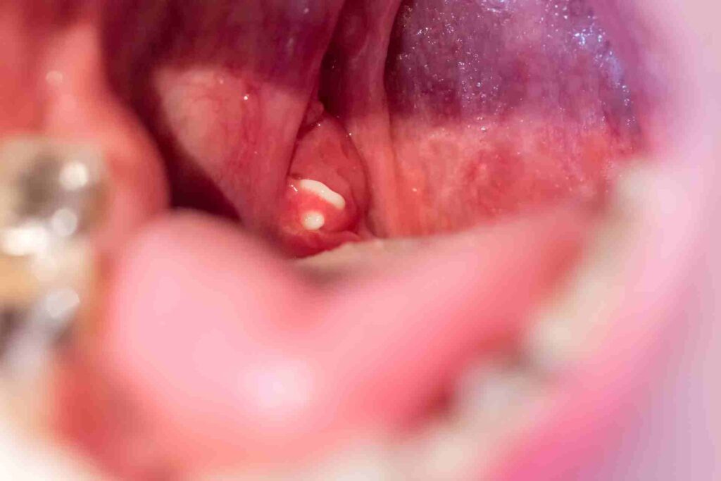
What Are Tonsil Stones?
These whitish or yellowish formations may feel like hardened particles when they appear in your mouth. In reality, they’re a concentration of trapped debris. Bacteria, mucus, food particles, and dead cells gather in the cervices of your tonsils, gradually growing denser. With enough buildup, hard stones appear. Not everyone experiences tonsil stones, but those with prominent tonsil folds are more susceptible.

Even if you never get a large, irritating stone, the buildup that causes them can lead to bad breath or tonsil swelling. This is why they should be addressed as soon as you notice them.
What Causes Tonsil Stones?
Tonsil stones can result from multiple factors. When any of these conditions create the ideal environment for debris buildup, you might start noticing stones appearing in your tonsils. Let’s break down the main culprits:
Inadequate Oral Hygiene
Maintaining the best dental habits possible is the initial battleground against tonsil stones. Insufficient brushing and flossing allows food particles to hang around on and between teeth, eventually ending up at the back of the throat. It’s not just about leftover snacks, either—dead skin cells and mucus form a natural part of the environment inside the mouth. Not thoroughly cleansing these away through oral hygiene routines means those substances could accumulate in the tonsils, leading to the growth of stones.
Chronic Allergies and/or Post-Nasal Drip
That excess mucus in your throat from allergies or conditions like post-nasal drip isn’t doing any favors when it comes to tonsil stones. Mucus becomes an additional substance that gets trapped, and it also facilitates a favorable environment for bacterial growth. If the bacteria feeding on other detritus get enough moisture and food from the mucus, tonsil stone formation accelerates.
Large Tonsils
Your tonsils are an important part of your immune system, but sometimes their natural shape works against you. People born with particularly large tonsils often have more noticeable crypts (folds and crevices) on the surface. These deeper pockets allow tonsil stones to become trapped more easily because it’s harder to cleanse all the surfaces within.
Chronic Tonsillitis
While tonsil stones themselves are not an infection, recurrent tonsillitis definitely sets the stage for their development. Repeated periods of inflammation create changes in the structure of your tonsils. There may be deeper crypts and scar tissue in areas where infections frequently occur. This scar tissue not only adds more spaces for matter to settle in, but the tissue itself is even more prone to flaking off dead cells—further supplying potential stone components.

It’s worth noting that these factors can work in tandem. For example, if you have naturally large tonsils and suffer from ongoing allergies, your risk for tonsil stones is multiplied. Sometimes you can’t avoid specific risk factors but addressing the ones within your control (like practicing good oral hygiene and managing allergies) can go a long way in prevention.
How to Get Rid of Tonsil Stones: Your Action Plan
In most cases, you can handle bothersome tonsil stones yourself. Here are some tried-and-true techniques:
Warm Saltwater Gargle
Saltwater is naturally antibacterial, helps break up hardened masses, and relieves the throat irritation stones might cause. Dissolve half a teaspoon of salt in a glass of warm water. Gargle vigorously, several times a day, focusing on the back of your throat to help wash away debris.
Cotton Swabs
If you can see the stone clearly, gentle pressure with a cotton swab may be enough to loosen it. Moisten the swab slightly, then apply pressure behind the stone, nudging it forward. Be careful not to force it further back, as it might become lodged more deeply.
Low-pressure oral irrigator (Waterpik)
The steady stream of water provided by a low-pressure oral irrigator can sometimes help dislodge stubborn stones. This tool needs to be used very carefully, and on its lowest setting, to avoid irritating delicate tonsil tissue.
Don’t Panic About “Coughing It Out”
Coughing sometimes naturally dislodges tonsil stones. While forceful coughing isn’t advised, simply being aware of the stones can allow normal bodily functions to work them free. Sometimes the best approach is waiting it out patiently while keeping up with those saltwater gargles!
When to See a Doctor

While often easily manageable, occasional issues might necessitate a doctor’s intervention, namely:
- Persistent/Unmanageable Stones: If stones recur frequently and your hygiene efforts don’t prevent them, a doctor may examine potential contributing factors or discuss tonsillectomy for chronic cases.
- Significant Pain or Swelling: When accompanied by swelling, fever, and significant difficulty swallowing, tonsil stones could signal inflammation or a more serious infection.
- Bleeding: In rare cases, removing a stone may cause bleeding. If there’s more than a minor smear of blood, it’s a good idea to see a doctor.
Prevention is the Best Medicine

Taking steps to stop tonsil stones before they happen is the best course of action. These steps may include:
- Excellent Oral Hygiene: Brush twice a day, floss daily, and use an antiseptic mouthwash to combat the debris stones feed on.
- Manage Allergies: Treat allergies consistently to reduce mucus buildup and the risk of inflammation.
- Stay Hydrated: Drinking plenty of water keeps the mouth moist and washes away potential debris.
Taking Action Against Tonsil Stones
Tonsil stones can be annoying, but the problem is solvable for most people. Home remedies often resolve the issue quickly, and your commitment to proactive oral hygiene will prevent future bouts. If needed, don’t hesitate to seek professional medical advice to address lingering concerns.






